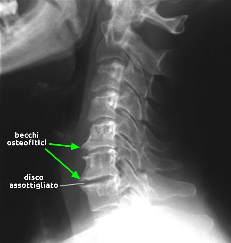
Osteofiti
- Descrizione: Escrescenza di tessuto osseo localizzata in prossimità della superficie articolare di un osso.

- Foglietto embrionale: Mesoderma recente. Fase di riparazione e Recidiva conflittuale.
- Senso biologico [!]: Aumentare il tessuto osseo e irrigidire una Articolazione.
- Attivazione [!]: Attivazione di inadeguatezza fondamentale, nelle parti più profonde di se’ stessi.
Attivazione specifica in funzione della parte di scheletro in cui compare il problema. - Riflessioni: Devo resistere anche se non ce la faccio? Sono tutto d’un pezzo? Non devo essere flessibile?

