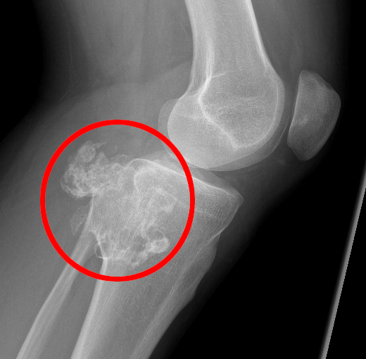
Condrosarcoma
- Descrizione: Il condrosarcoma è un raro Tumore Maligno dell'osso che origina dalla Cartilagine. Il sintomo più comune dell'affezione è rappresentato dal Dolore. I condrosarcomi primari insorgono da un piccolo gruppo di cellule cartilaginee; i secondari si sviluppano lentamente da un precedente tumore benigno della cartilagine.
- Foglietto embrionale: Mesoderma recente. In Fase attiva si ha necrosi del tessuto cartilagineo, con la formazione di buchi. In Fase di riparazione si ha ricostruzione tissutale a volte abnorme od eccessiva
- Senso biologico [!]: Produzione di tessuto più forte e resistente
- Attivazione [!]: Leggera Attivazione di inadeguatezza: "Non sono abbastanza mobile, o abile". La collocazione delle alterazioni danno un valore conflittuale ulteriore.
- Riflessioni: Non sono stato agile nel muovermi? Ho i movimenti impediti? Non sono abbastanza mobile, o abile?
Se ritieni che questo servizio abbia un valore, puoi contribuire con una piccola donazione


Giorgio Beltrammi
Il Cancro è solo una risposta
436 pagine B/N
Acquista →