Nefroblastoma
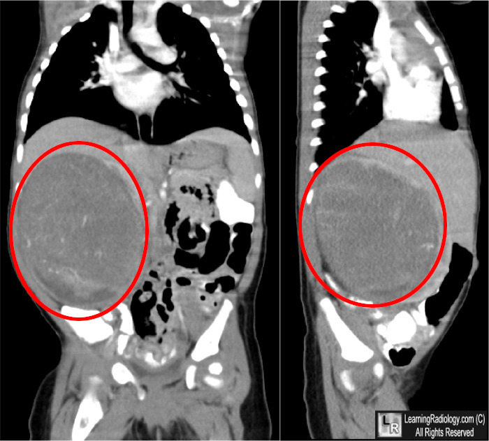
- Descrizione: Il nefroblastoma, o Tumore di Wilms, è un Tumore Maligno che deriva dal primitivo abbozzo renale. Rappresenta la neoplasia renale primitiva più frequente in età infantile.
- Foglietto embrionale: Mesoderma recente recente. In Fase attiva si ha Necrosi di parti di parenchima renale ed una Ipertensione arteriosa compensatoria. In fase riparativa si ha la produzione di cisti renali ripiene di liquido che, con il passare del tempo si riempiono di tessuto solido funzionale che aumenta la produzione di Urina.
- Senso biologico [!]: Il tessuto ricostituito migliora la produzione e la escrezione di urina.
- Attivazione [!]: Attivazione del liquido o dell'acqua. Rischiare di annegare, subire un allagamento, patire una inondazione, subire terapie idratanti con fleboclisi.
È ipotizzabile il fatto che il bimbo abbia inalato liquido amniotico al momento del parto.
- Riflessioni: Ho subito un annegamento sventato? Ho vissuto una alluvione? Ho subito delle fleboclisi? Ho avuto un allagamento che ha fatto tanti danni?
Se ritieni che questo servizio abbia un valore, puoi contribuire con una piccola donazione


Giorgio Beltrammi
Il Cancro è solo una risposta
436 pagine B/N
Acquista →