Focolaio di Hamer
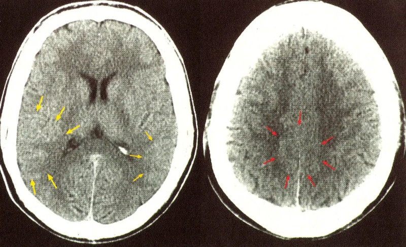
Il termine Focolaio di Hamer è stato coniato da alcuni detrattori della Nuova Medicina Germanica® quando il Dr. Hamer indicava delle immagini radiologiche nelle TAC cerebrali dei suoi pazienti.
Si tratta di immagini presenti nel contesto della massa cerebrale, ma anche in altre aree corporee e sono la visualizzazione di relè di attivazione organica che vengono chiamati in causa quando si verifica una DHS. La radiologia ufficiale indica questi FH come artefatti. A seconda della fase biologica in cui si trovano, questi focolai hanno aspetti diversi. Nella Fase attiva la visualizzazione è di cerchi concentrici ben definiti. Una volta avvenuta la Conflittolisi e con la edemizzazione del FH, i margini di visualizzazione divengono più indefiniti. Con la guarigione completa il FH mostra un aspetto biancastro ad indicare un ispessimento della glia periferica.


