Cancro ai polmoni
Occorre fare distinzione tra il Carcinoma bronchiale e l'Adenocarcinoma polmonare, tenere in conto la Lateralità dell'individuo, la sede della manifestazione clinica e il numero delle lesioni.

# Nel Carcinoma bronchiale l'attivazione scatenante è quella di Territorio, ovvero quando la sfera personale e dello spazio vitale è insidiata da sensi di colpa, da minacce o semplicemente da paure, da insicurezze irrisolte dell'infanzia o dell'adolescenza, riattivate da specifici eventi. Per es. "mi togli l’aria", "lasciami respirare", "non ho più il mio spazio" ecc.
In Fase attiva si ha l'ulcerazione della mucosa dei #Bronchi con il preciso intento di allargare il lume bronchiale e permettere il miglior passaggio di aria.
Nella fase PCL si ha la riparazione delle ulcerazioni e la comparsa di tessuto supplementare e iperplastico, erroneamente considerato patologico, vi è ulcerazione, in Fase di riparazione le ulcere si chiudono. Talora le recidive conflittuali e le conseguenti riparazioni possono causare la crescita abnorme di tessuto che può ostruire il bronco e creare l'Atelettasia.
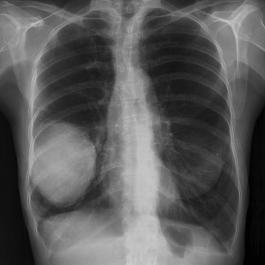
# L'AdenoCa polmonare coinvolge gli Alveoli polmonari. Il conflitto che sta' alla base di questa manifestazione è il conflitto ancestrale di Paura di morire, di non poter più respirare. Condizioni di stress elevato specialmente inFamiglia ed al lavoro, possono precipitare la situazione quando intervenga un episodio scatenante.
In fase attiva si ha proliferazione tissutale in funzione di aumentare la superficie di scambio gassoso. A problema risolto si ha lo smantellamento di questo tessuto ad opera principalmente dei Micobatteri, con la formazione di focolai o caverne tubercolari.
- Riflessioni: Ho avuto paura di morire? Ho temuto fortemente per la vita di un mio caro? Qualcuno o qualcosa ha minacciato le mie cose o i miei affetti?

