Empiema
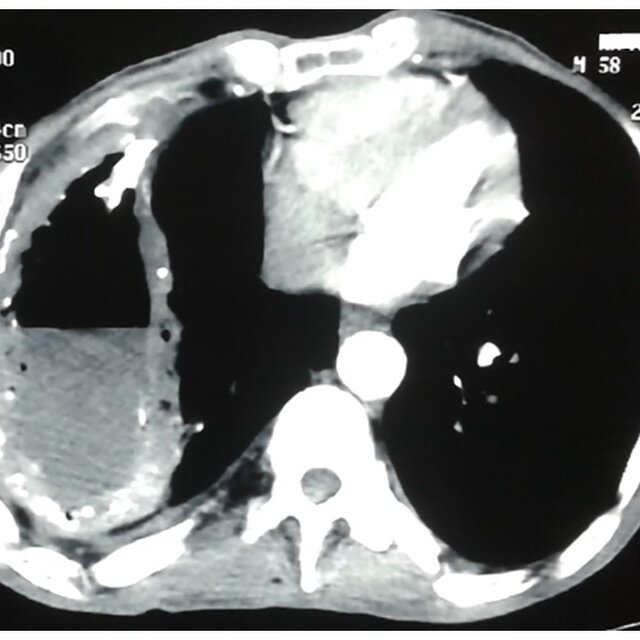
Accumulo di pus all'interno di una cavità, anche se il termine è più spesso applicato al versamento purulento all'interno del cavo pleurico (Empiema pleurico). La condizione può essere certamente paragonata ad un ascesso ed i sintomi che lo contraddistinguono sono Dolore, Febbre, difficoltà respiratoria. L'evenienza è di una gravità spesso elevata ed il trattamento consiste nel drenaggio del versamento nel più breve tempo possibile.
L'empiema pleurico si rinviene spesso nella Polmonite, nelle Tubercolosi polmonari e nelle ferite penetranti del Torace.
Secondo le 5LB, l'empiema pleurico è la fase finale di riparazione del Mesotelioma pleurico, quando l'azione dei Batteri ha portato alla completa demolizione del tessuto supplementare, ormai biologicamente inutile.
- Riflessioni: Ho ricevuto un trauma al torace ed ho temuto per gli organi in esso contenuti? Ho ricevuto una diagnosi infausta riguardo al mio torace? Qualcuno o qualcosa ha minacciato il mio torace?


